Mūsų Paslaugos

Aukščiausios kokybės odontologijos sprendimai jūsų sveikatai ir grožiui

Ortodontinis gydymas

Ortodontinių mini implantų sriegimas suteikia ortodontui papildomų galimybių dantų judėjimo kontrolei. Šie laikini implantai leidžia pasiekti rezultatus, kurie anksčiau buvo neįmanomi naudojant tik tradicinius ortodontinius prietaisus.

Kortikotomijos procedūros pagreitina ortodontinį gydymą stimuliuojant kaulo metabolizmą. Tai ypač naudinga suaugusiųjų ortodontiniame gydyme, kai dantų judėjimas yra lėtesnis.

Retinuotų dantų atvėrimas ir retencinių elementų fiksacija leidžia įtraukti į dantų lanką dantis, kurie dėl vietos trūkumo ar kitų priežasčių neišdygo savarankiškai.

Ortodontinis gydymas - odontologijos paslauga

Dantų implantacija

Atliekame visų tipų dantų implantaciją – nuo atidėtos iki vienmomentės, priklausomai nuo paciento poreikių ir klinikinės situacijos. Naudojame tik aukščiausios kokybės implantų sistemas: Straumann, Megagen, ICX, Neodent, Neobiotech ir Bredent.

Specialiai sudėtingais atvejais atliekame sinuso pakėlimo operacijas tiek atviru, tiek uždaru būdu. Taikome įvairias kaulo augmentacijos technikas, leidžiančias atkurti implantacijai reikalingą kaulo kiekį.

Kiekvienas implantacijos planas yra individualiai pritaikomas pacientui, atsižvelgiant į anatominę situaciją, estetikos poreikius ir gydymo tikslus.

Dantų implantacija - odontologijos paslauga

Sinuso dugno pakėlimas

Viršutinio žandikaulio kaulo priauginimas (sinuso dugno pakėlimas), paruošiant vietą tolimesnei implantacijai.
Sinuso dugno pakėlimas - odontologijos paslauga

Chirurginės procedūros

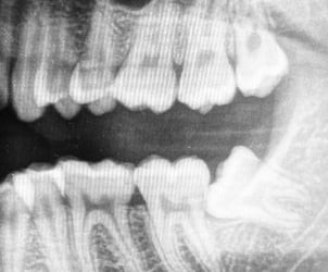
Atliekame visas burnos chirurgijos procedūras, įskaitant sudėtingų, neišdygusių dantų šalinimą. Ypač specializuojamės sudėtingų protinių dantų ekstrakciją, kai reikalingas chirurginis įsikišimas.

Klinikinio vainiko prailginimas leidžia pagerinti dantų estetinį vaizdą arba sukurti palankesnes sąlygas protezavimui. Šaknies viršūnės rezekcija taikoma, kai endodontinis gydymas neduoda norimo rezultato.

Alveolės plastika po dantų šalinimo padeda išsaugoti kaulo kiekį ir formuoti palankią anatomiją būsimam implantavimui ar protezavimui.

Chirurginės procedūros - odontologijos paslauga

Viso lanko atstatymas

Pilnas dantų lanko atstatymas: visi dantys tvirtinami ant 4 implantų per vieną procedūrą per 1–3 paras.
Viso lanko atstatymas - odontologijos paslauga

Vienmomentė implantacija

Dantų implantacija iškart po pašalinimo su laikinų dantų fiksavimu operacijos metu arba per 24 valandas.
Vienmomentė implantacija - odontologijos paslauga

Pasiruošę Savo Kelionei į Laimingą Šypseną?

Susisiekite su mumis ir pradėkime kurti jūsų tobulą šypseną

Registruotis Paslaugai